Full Mouth Rehabilitation

Full Mouth Rehabilitation

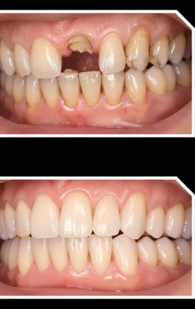
Full Mouth Rehabilitation – Comprehensive Restoration of Your Smile and Oral Function

Full mouth rehabilitation, also known as full mouth reconstruction, is a comprehensive dental treatment designed to restore the health, function, and aesthetics of the entire mouth. This treatment focuses on repairing multiple dental problems at the same time to create a balanced and healthy oral structure.

At Panacea – The Dental Studio, full mouth rehabilitation is recommended for patients who have several damaged, worn, or missing teeth that affect both their oral health and daily activities such as chewing and speaking. The treatment involves a carefully planned combination of restorative and cosmetic dental procedures.

By rebuilding damaged teeth, correcting bite problems, and restoring missing teeth, full mouth rehabilitation helps improve both dental function and smile appearance. The goal of this treatment is to create a stable, comfortable, and natural-looking smile that supports long-term oral health.

Committed to Healthy & Confident Smiles

At Panacea – The Dental Studio, we focus on restoring complete oral health by providing personalized treatment plans for complex dental conditions. Our clinic combines advanced dental technology with experienced professionals to ensure patients receive comprehensive care for long-term results.

  • Our Mission

    Our mission is to restore both function and aesthetics for patients with complex dental problems by providing customized treatment solutions that improve oral health and quality of life.

  • Our Vision

    Our vision is to become a trusted dental clinic that offers advanced restorative treatments designed to rebuild healthy smiles and improve overall dental function.

  • Our Team

    Our dental team carefully evaluates each patient’s dental condition and develops a treatment plan tailored to their individual needs. By combining clinical expertise with modern dental techniques, we aim to deliver reliable and long-lasting results.

When Are Full Mouth Rehabilitation Recommended?

Full mouth rehabilitation may be recommended for patients who experience multiple dental problems that affect the health, function, and structure of their teeth and jaws.

Multiple Missing Teeth

Patients who have lost several teeth may find it difficult to chew properly or maintain a balanced bite. Full mouth rehabilitation replaces missing teeth and restores the overall structure of the mouth.

Severe Tooth Wear

Teeth that have worn down due to grinding (bruxism) or long-term use may affect both appearance and function. Rehabilitation treatments help rebuild worn teeth and restore their natural shape.

Broken or Fractured Teeth

Teeth that are cracked, broken, or structurally compromised can cause discomfort and affect chewing ability. Restorative procedures help rebuild these teeth and improve stability.

Extensive Tooth Decay

Severe decay affecting multiple teeth can weaken the overall dental structure. Full mouth rehabilitation helps repair damaged teeth and restore their strength.

Chronic Jaw Pain or Bite Problems

Improper bite alignment may lead to jaw discomfort or uneven pressure on teeth. Full mouth rehabilitation helps correct bite issues and improve jaw function.

Trauma-Related Dental Damage

Accidents or injuries may cause multiple dental problems at once. Comprehensive treatment helps restore damaged teeth and rebuild the natural smile.

Full Mouth Rehabilitation Treatment Process

Full mouth rehabilitation involves a series of carefully planned procedures designed to restore the health and function of the entire mouth.

01

Comprehensive Examination

The dentist begins with a detailed evaluation of the teeth, gums, jaw alignment, and overall oral health. Digital X-rays, scans, and bite analysis help identify the underlying dental issues.

02

Personalized Treatment Planning

Based on the examination results, a customized treatment plan is developed. The dentist determines which procedures are required to restore function and improve the appearance of the smile.

03

Restorative Treatment Phase

Damaged or weakened teeth are restored using treatments such as dental crowns, bridges, or fillings. These procedures help rebuild the structure and strength of the teeth.

04

Bite Alignment Correction

The dentist carefully adjusts the bite to ensure that the upper and lower teeth fit together properly. Correcting bite alignment helps reduce stress on the jaw and teeth.

05
Functional and Aesthetic Enhancement

Once the structural treatments are completed, additional procedures may be performed to improve the appearance of the smile and create a balanced, natural look.

06

Final Evaluation and Maintenance

After the rehabilitation process is completed, the dentist evaluates the final results and provides guidance on maintaining long-term oral health.

Recovery & Aftercare

After full mouth rehabilitation, patients may experience mild sensitivity or temporary discomfort as the mouth adjusts to the newly restored teeth. These sensations usually improve within a few days as the oral tissues adapt to the treatment. Maintaining good oral hygiene is essential for protecting the results of full mouth rehabilitation. Patients should brush and floss regularly and follow the dentist’s recommendations for oral care. Regular dental check-ups allow the dentist to monitor the health of the restored teeth and ensure that the bite remains stable. Proper care and routine dental visits help maintain the long-term success of the treatment.

Results of Full Mouth Rehabilitation Treatment

Full mouth rehabilitation restores both the function and appearance of the teeth by addressing multiple dental problems simultaneously. Patients often experience significant improvements in chewing ability, bite alignment, and overall comfort after the treatment. Rebuilding damaged teeth also helps improve facial structure and smile aesthetics, allowing patients to feel more confident in their appearance.

Benefits of Full Mouth Rehabilitation:
✔ Restores proper chewing and oral function
✔ Improves bite alignment and jaw comfort
✔ Rebuilds damaged or worn teeth
✔ Enhances smile aesthetics and facial balance
✔ Strengthens overall dental structure
✔ Supports long-term oral health and stability

Why Choose Full Mouth Rehabilitation at
Panacea – The Dental Studio?

At Panacea – The Dental Studio, we provide comprehensive dental solutions for patients with complex dental conditions. Our approach focuses on understanding each patient’s unique dental needs before designing a customized rehabilitation plan. Our clinic uses modern diagnostic tools and advanced restorative techniques to ensure accurate treatment planning and reliable results. By combining multiple dental procedures in a structured treatment plan, we aim to restore both function and aesthetics effectively. Through professional expertise, modern dental technology, and patient-focused care, Panacea – The Dental Studio strives to help patients achieve healthy, comfortable, and natural-looking smiles that last for years.

Need more information about Full Mouth Rehabilitation?

Schedule a consultation with our experienced dental team today.

Connect With Expert

Patient Intake Form (#7)

2020 Templately copyright all. right reserved

if(window.location.search.includes("submitted=true")){ document.getElementById("thankYouMsg").style.display="block"; setTimeout(function(){ document.getElementById("thankYouMsg").style.display="none"; },5000); }